Understanding Hair Loss
Hair loss, medically known as alopecia, affects millions of men and women worldwide. While it is often associated with aging, hair loss can occur at any age and may result from a variety of genetic, hormonal, inflammatory, or environmental factors.
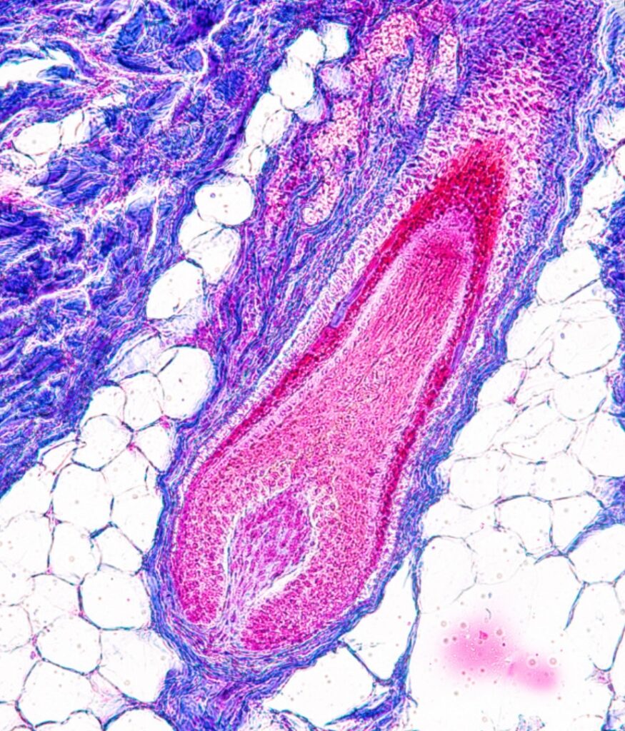
Hair follicles are dynamic biological structures that cycle through phases of growth, regression, and rest. When this cycle becomes disrupted, hair may become thinner, weaker, or stop growing altogether.
In many cases, hair loss occurs gradually over time as hair follicles shrink and produce progressively finer hairs. Understanding the underlying cause of hair loss is essential for determining appropriate treatment options.
In addition to traditional treatments such as medications and surgical hair transplantation, regenerative medicine therapies including stem cells, exosomes, platelet-rich plasma (PRP), and platelet-rich fibrin (PRF) are being studied for their potential ability to support hair follicle health and scalp regeneration.
Common Types of Hair Loss
Hair loss can occur for many different reasons. Some of the most common types include:
Androgenetic Alopecia
Also known as male pattern baldness or female pattern hair loss, androgenetic alopecia is the most common cause of hair thinning.
This condition is influenced by genetics and hormones, particularly dihydrotestosterone (DHT). Over time, DHT causes hair follicles to shrink in a process known as follicular miniaturization, resulting in thinner hair growth and eventual hair loss.
Typical patterns include:
- Receding hairline
- Thinning at the crown
- Diffuse thinning across the scalp

Telogen Effluvium
Telogen effluvium occurs when a large number of hair follicles enter the resting (telogen) phase of the hair growth cycle simultaneously.
Common triggers include:
- Physical or emotional stress
- Illness or surgery
- Hormonal changes
- Nutritional deficiencies
- Certain medications
This type of hair loss is often temporary and may improve once the underlying trigger is addressed.
Alopecia Areata
Alopecia areata is an autoimmune condition in which the immune system mistakenly attacks hair follicles, leading to patchy hair loss.
Hair may fall out in small round patches and, in some cases, may affect the entire scalp or body.
Scarring Alopecia
In certain inflammatory conditions, damage to the scalp can lead to permanent destruction of hair follicles. This type of hair loss is known as scarring alopecia and often requires specialized medical management.
The Hair Growth Cycle
Hair follicles follow a continuous cycle consisting of three main phases.
Anagen (Growth Phase)
This is the active growth stage in which hair follicles produce new hair fibers. The anagen phase can last two to seven years, depending on genetics and individual factors.
Catagen (Transition Phase)
During this short phase, hair growth slows and the follicle begins to shrink. This stage typically lasts a few weeks.
Telogen (Resting Phase)
Hair follicles enter a resting period before the hair eventually sheds. Normally, about 10–15% of hairs are in the telogen phase at any given time.
Disruptions in this cycle can lead to increased shedding or reduced hair density.
Factors That Contribute to Hair Loss
Hair thinning can be influenced by multiple factors including:
- Genetics
- Hormonal changes
- Aging
- Chronic inflammation of the scalp
- Nutritional deficiencies
- Stress
- Certain medications
- Autoimmune disorders
- Environmental exposures
Addressing underlying factors can play an important role in hair restoration strategies.
Individuals seeking further information may contact us to discuss whether a consultation with a physician would be appropriate
Contact Us
Regenerative Medicine and Hair Restoration
Regenerative medicine focuses on supporting the body’s natural repair mechanisms using biologically active substances that may promote cellular regeneration, tissue repair, and improved signaling between cells.
In the context of hair restoration, regenerative therapies are being studied for their potential ability to support:
- Hair follicle regeneration
- Improved scalp circulation
- Reduced inflammatory signaling
- Activation of dormant hair follicles
- Improved hair shaft thickness and quality
Therapies such as stem cells, exosomes, PRP, and PRF are increasingly being explored as non-surgical options for individuals experiencing hair thinning.
Stem Cell Therapy for Hair Restoration
Stem cells have the ability to develop into specialized cell types and release signaling molecules that support tissue repair.
In hair restoration research, mesenchymal stem cells (MSCs) are being studied for their potential ability to influence the hair growth cycle.
Potential mechanisms being investigated include:
- Stimulating dormant hair follicles
- Promoting growth factor signaling in the scalp
- Supporting regeneration of follicular cells
- Improving scalp tissue health
- Enhancing blood vessel formation around follicles
These effects may help support the biological environment necessary for hair growth.
Exosome Therapy
Exosomes are microscopic vesicles released by cells that function as communication signals between cells.
They contain proteins, RNA molecules, and other signaling factors that influence tissue repair and regeneration.
In hair restoration research, exosomes are being studied for their potential to:
- Stimulate hair follicle activity
- Promote dermal papilla cell signaling
- Support hair follicle regeneration
- Improve scalp tissue repair
- Reduce inflammatory signaling within the scalp
Because exosomes deliver signaling molecules rather than living cells, they are being investigated as a method of providing regenerative signals to hair follicles.
Platelet-Rich Plasma (PRP)
PRP is produced from a small sample of the patient’s own blood that is processed to concentrate platelets and growth factors.
Platelets release important molecules that play a role in tissue repair and cellular communication.
Growth factors in PRP include:
- Platelet-derived growth factor (PDGF)
- Vascular endothelial growth factor (VEGF)
- Transforming growth factor beta (TGF-β)
- Epidermal growth factor (EGF)
These growth factors may help support hair restoration by:
- Stimulating hair follicle activity
- Improving scalp blood circulation
- Supporting cellular regeneration
- Extending the hair growth phase
PRP is one of the most widely used regenerative therapies in non-surgical hair restoration.
Platelet-Rich Fibrin (PRF)
PRF is a blood-derived regenerative therapy similar to PRP but contains platelets embedded within a fibrin matrix.
This fibrin network allows growth factors to be released gradually over time, potentially providing sustained biological signaling.
PRF contains:
- Platelets
- Leukocytes
- Growth factors
- Cytokines involved in tissue repair
Potential benefits being studied include:
- Gradual release of regenerative signals
- Improved scalp tissue regeneration
- Enhanced hair follicle support
- Improved hair density and thickness
PRF is increasingly used in regenerative hair restoration protocols.
Additional Strategies for Supporting Hair Health
In addition to medical treatments, several lifestyle factors may help support healthy hair growth.
These include:
- Maintaining balanced nutrition
- Ensuring adequate protein intake
- Managing stress levels
- Addressing hormonal imbalances
- Supporting scalp health
- Treating underlying medical conditions
A comprehensive approach can often produce the best long-term outcomes.
Frequently Asked Questions
What is the most common cause of hair loss?
The most common cause is androgenetic alopecia, a genetic condition influenced by hormones that leads to gradual hair follicle miniaturization.
Are regenerative hair treatments surgical procedures?
No. Treatments such as PRP and PRF are typically minimally invasive procedures performed in a clinical setting.
Can dormant hair follicles be reactivated?
Some research suggests that certain therapies may help stimulate follicles that have become inactive but are still viable.
How long does hair restoration take?
Hair growth occurs gradually, and visible improvements may take several months due to the natural hair growth cycle.
Can hair loss be completely reversed?
The outcome depends on the cause of hair loss and the condition of the hair follicles. Early intervention often provides the best opportunity for improvement.
How Is Platelet-Rich Plasma (PRP) Used in Hair Restoration Research?
Platelet-Rich Plasma (PRP) is a component derived from a person’s own blood and has been studied in various medical fields, including dermatology and hair restoration research. In clinical settings, PRP is typically prepared by processing a blood sample to concentrate platelets before being administered according to established medical protocols.
Individuals in Long Island, New York, who are researching PRP for hair-related concerns should understand that approaches and preparation methods vary depending on the healthcare provider and the specific clinical study or treatment plan.
How Are Stem Cells Sourced for Hair Restoration Applications?
Stem cells used in research may be derived from several sources, including bone marrow, adipose (fat) tissue, or perinatal tissues such as umbilical cord or placental tissue. The source and processing methods depend on regulatory standards, research protocols, and medical oversight.
Because stem cell applications for hair restoration are still being studied, residents of Long Island and surrounding areas are encouraged to review scientific literature and consult licensed medical professionals for accurate, up-to-date information.
Is There Discomfort During These Types of Procedures?
Reports of discomfort vary depending on the specific technique being studied. In clinical research environments, some individuals report temporary scalp tenderness, swelling, or sensitivity following treatment. The intensity and duration of these symptoms differ from person to person.
Anyone considering medical treatment should speak directly with a qualified healthcare provider to understand potential side effects and recovery expectations.
How Long Can the Results of Stem Cell Therapy for Hair Regrowth Last?
Timelines for observable changes in hair growth vary widely in published studies. Some research evaluates outcomes over several months, as hair growth cycles occur gradually. However, because many stem cell–based hair applications are still considered investigational, results cannot be guaranteed.
Individuals in Long Island, NY, exploring regenerative hair research should rely on peer-reviewed studies and professional medical advice when evaluating expectations.
Who is a Good Candidate for Hair Restoration Through PRP and Stem Cell Application?
Candidacy for PRP or stem cell–based hair procedures depends on factors such as overall health, type of hair loss, medical history, and professional medical evaluation. Clinical studies often focus on individuals in early to moderate stages of certain forms of hair thinning, but eligibility varies.
Those researching options in Long Island and nearby communities should consult licensed healthcare providers for individualized guidance.
Is Stem Cell Therapy Hair Restoration FDA-Approved?
No, stem cell therapy for hair growth is not FDA-approved at this time.